Fixing an Open Bite with Braces: Options and What to Expect

| Updated:
Reading Time: 8 min
0 Comment
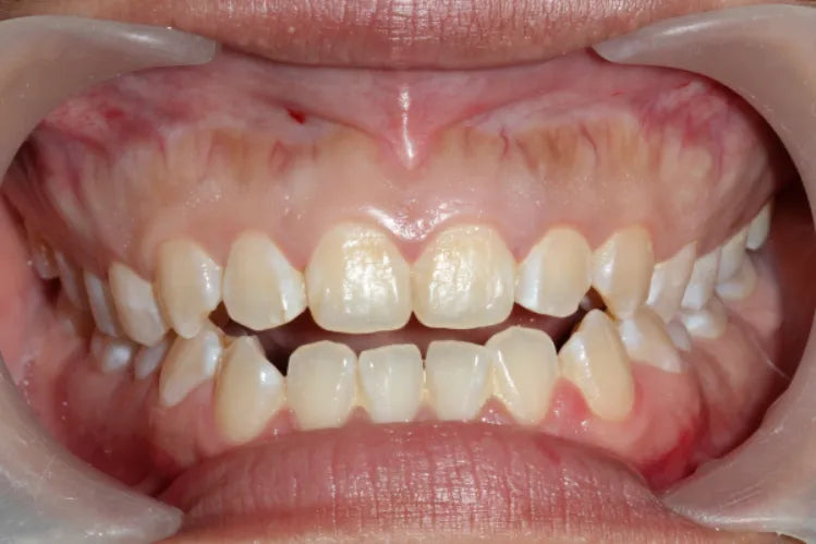
A close-up image showing an anterior open bite.

Key Takeaways:

  • An open bite happens when the upper and lower teeth don’t touch when the mouth is closed.
  • Braces are a common and effective way to fix open bites.
  • Treatment may include metal, ceramic, or lingual braces.
  • Clear aligners (like Aligner32) can also treat some open bites.
  • Elastics are often used with braces to help close the bite.
  • Severe skeletal open bites may require TADs (mini screws) or jaw surgery.
  • Addressing habits like thumb-sucking or tongue thrusting is important for long-term results.
  • Treatment usually takes 18–30 months, depending on severity.
  • Retainers are crucial to prevent the bite from reopening.
  • Correcting an open bite improves chewing, speech, and overall oral function.

If you’ve ever bitten into a soft sandwich only to watch it slide forward, you already know how frustrating an open bite can be. Your front teeth don’t meet, chewing feels awkward, and sometimes even your speech or jaw comfort takes a hit. Many people search for how to fix open bite naturally, hoping for simple solutions before turning to orthodontics. The truth? Open bites have different causes: habits, growth patterns, genetics, tongue thrusting, or jaw alignment, and each one needs a tailored approach.

The good news is that open bites can be corrected. From braces and clear aligners to habit training, appliances, and in severe cases, jaw surgery, today’s treatment options can bring your bite back into harmony. In this guide, we’ll walk through what causes an open bite, the most effective treatments, what the process feels like, and can braces fix open bite?

Want a nearly invisible way to correct your open bite? And it might be easier than you think.

Begin with a FREE Smile Assessment and get answers fast.

Am I a Candidate?

Understanding Open Bite

An open bite happens when your upper and lower teeth don’t touch, even when your mouth is fully closed, leaving a visible gap that affects how you bite and chew. Instead of meeting in the middle, the teeth stay apart because of the way the jaws grew, long-term habits like thumb sucking, or the way the tongue presses forward when swallowing or speaking.

Some people notice it right away because certain foods are hard to bite into, while others only spot it in photos or during a dental visit. Beyond appearance, an open bite can influence speech, strain the jaw, and make everyday eating feel less natural.Understanding an open bite and why it developed is the first step toward choosing the right treatment.

Treatment Options for Fixing an Open Bite

Open bite correction isn’t one-size-fits-all. Some cases are straightforward, while others require a combination of tools. Orthodontists often personalize the treatment plan around jaw movement, tooth movement, and age. Below are the most common methods used to fix open bites.

Clear Aligners

Wondering how to fix an open bite in adults without braces? Clear aligners deserve your attention as a discreet treatment. They’re removable, smooth, and when worn consistently for 20 to 22 hours a day, they can often correct mild to moderate open bites quite efficiently. However, the keyword here is consistency. Aligners only work if they stay in your mouth.

Aligner32 offers clear aligners that help achieve the smile of your dreams. They are removable and barely visible, which helps to move your teeth gradually,y making them more aligned. Moreover, with Aligner32, you can get your teeth aligned from the comfort of your own home.

How to Fix Open Bite without Braces?

With Aligner32 Clear Aligners, get an invisible smile transformation.

Shop Now

Traditional Metal Braces

Wondering how to fix open bite with braces? Well, metal braces remain the strongest option for complex open bites. They use bracket-and-wire systems that apply consistent pressure, slowly guiding teeth downward or upward until they meet properly. Metal braces are predictable. They’re durable. They’re strong. Orthodontists can make precise adjustments, even for difficult cases where teeth are stubborn or the bite is deeply misaligned. If someone asks how to fix an open bite with braces or whether braces can fix open bite at all, metal braces usually provide the clearest yes.

Some patients prefer their reliability. Others simply don’t mind the appearance.

Ceramic Braces

Ceramic braces work similarly to traditional ones but with tooth-colored brackets. That makes them blend in more. They’re slightly larger, but for people who want something less visible while still powerful, ceramic braces are an excellent choice. They handle open bite cases extremely well. And because they’re still bonded to the teeth, they offer strong control. They’re ideal for adults who want a subtler look without sacrificing effectiveness.

Surgical Orthodontics

Sometimes, the open bite isn’t just about teeth; it’s about bone, jaw position, or growth patterns that can’t be changed with braces alone. When the problem is skeletal, surgery may be necessary. Orthognathic surgery repositions the jaw, and afterward, braces or aligners fine-tune the bite. This combination approach is common for adults with severe open bites.

Recovery takes time, but the results can be dramatic. People often share open bite braces before and after photos that show huge improvements in facial balance and function.

Auxiliary Appliances

Braces sometimes need help. That help comes in many forms.

  • Elastics
  • Expanders
  • Bite blocks
  • TADs (temporary anchorage devices)

TADs, in particular, are small screws placed in the mouth to provide stable anchorage. They let orthodontists move teeth in ways that brackets alone cannot. They can pull molars up. They can help close stubborn open bites. They’re small but mighty. This is where creative treatment happens. Open bites often require precision. Auxiliary appliances offer that. Unsure which option fits your bite? Your orthodontist will design a plan tailored specifically to your jaw and tooth movement.

Treatment Cost for an Open Bite

Here is a table to provide you with a quick glance at the open bite braces cost.

Type Appearance Key Benefits Cost (range) Best Used For
Metal Braces Shiny metal brackets + wires Very effective for complex movement; durable; usually fastest for many problems; typically lower cost than some alternatives. $3,000 – $7,500 Complex malocclusions like an open bite, large tooth movements, children & teens.
Ceramic Braces Tooth-colored - less noticeable than metal More aesthetic than metal; work like metal braces. $2,000 – $8,500 Adults/teens who want fixed braces but prefer reduced visibility; moderate to complex.
Lingual Braces Brackets/wires placed on the back (tongue side) of teeth — effectively hidden Truly hidden from view; similar mechanical control of traditional braces. Can be more uncomfortable for the tongue, harder to clean, and typically more expensive. $5,000 – $13,000 Patients who require fixed-brace mechanics but want an invisible appliance — good for adults with cosmetic concerns and complex needs.
Clear Aligners Nearly invisible, removable transparent plastic trays. Highly aesthetic; removable. $3,000 - $7,500 Mild–moderate crowding/spacing and many adults who value discretion and removability; not always ideal for very complex tooth movements unless combined with attachments/refinements.

What to Expect throughout Treatment

Fixing an open bite takes time, patience, and regular visits. The experience varies from person to person, but the overall journey follows a predictable pattern.

Gradual Tooth Movement

Braces work by applying controlled pressure. This reshapes the bone around the teeth. The body slowly adapts. Teeth shift into new positions. Over months, the top and bottom teeth begin inching closer together.

It feels slow at first; however, later you notice your bite touching more than before. This part surprises many people.

Treatment Duration

Most open bite treatments take between 18 and 36 months. More complex cases, especially surgical ones, take longer.

Several factors influence duration:

  • Severity of the open bite
  • Type of treatment
  • Age
  • Jaw structure
  • Compliance
  • Oral habits

Adults sometimes ask how to fix an open bite naturally or whether there’s a shortcut. But in most cases, orthodontic guidance is needed.

Regular Orthodontist Visits

Braces require adjustments every few weeks, and aligners require new tray sets. These visits help keep everything on track. Open bite cases often need more monitoring because the bite can be particularly challenging. Teeth may want to relapse into their previous pattern. Regular visits help ensure they stay on course.

Improved Function and Aesthetic Changes

One of the best parts of open bite treatment is the moment you bite down and actually feel teeth meeting for the first time. Food doesn’t slip forward; you feel more control, speech improves, and the face sometimes looks more balanced. This emotional shift can be profound. People feel confident, they chew comfortably, and they smile differently.

Possible Combination Treatments

It’s normal for open bite cases to involve multiple approaches. Elastics. TADs. Expanders. Different bracket types. Sometimes, aligners are followed by braces. Other times, braces are used before surgery. The flexibility exists because open bites can be unpredictable. Open bite correction takes time, but the payoff is improved chewing, comfort, and confidence.

Aftercare and Maintaining Your Results

After braces come off, the story isn’t over. Open bite cases are more prone to relapse because the teeth and tongue may try to return to old patterns.

Retainers Matter

Retainers keep your bite stable. They hold everything in place as your bones and ligaments adapt. Without retainers, the open bite may worsen again.

There are different types of retainers:

  • Clear retainers
  • Hawley retainers
  • Fixed bonded retainers

Many orthodontists recommend wearing retainers full-time at first, then gradually transitioning to nights only.

Good Oral Hygiene

Healthy gums and strong bone support help maintain bite stability. Brushing, flossing, and regular cleanings protect your investment.

Check-Ins with the Orthodontist

Even after treatment ends, periodic check-ins help ensure everything stays perfect. Minor issues can be corrected quickly. A corrected bite stays that way when you commit to great aftercare. Your orthodontist will guide you every step of the way.

Braces Can Transform an Open Bite

Whether your open bite is mild or severe, treatment exists. Braces, aligners, appliances, or surgical orthodontics can reposition your teeth and jaw into a healthier, more functional bite. The process requires patience. But the outcome is worth every visit. Better chewing, clear speech, a stronger smile, and a bite that finally feels like it works.

FAQs

1. What is the hardest bite to fix with braces?

Skeletal open bites are generally the most challenging because they involve jaw structure, not just tooth position.

2. What’s the recovery like after open bite surgery?

Expect swelling, soft-food phases, and a few weeks of healing. Results continue to refine over several months.

3. Is it worth fixing an open bite?

Absolutely. Correcting an open bite improves chewing, speech, aesthetics, and long-term oral health.

4. What’s the best age to fix an open bite?

Early teens are ideal, but adults can successfully treat open bites, too.

5. How much will braces cost for an open bite?

Costs vary widely based on severity, type of treatment, and location. Severe open bites requiring surgery cost more.

6. How to fix a severe open bite?

Severe cases often require a combination of braces and jaw surgery.

7. Can braces fix an open bite?

Yes. Braces are one of the most effective tools for open bite correction.

Citations:

Rossini, G., Parrini, S., Castroflorio, T., Deregibus, A., & Debernardi, C. L. (2015). Clinical effectiveness of Invisalign® orthodontic treatment: A systematic review. Angle Orthodontist, 85(3), 381–389. https://doi.org/10.2319/021114-125

Simon, M., Keilig, L., Schwarze, J., Jung, B. A., & Bourauel, C. (2014). Mechanics and limitations of tooth movement with clear aligners. Journal of the American Dental Association, 145(11), 1231–1240. (Note: this is a representative mechanics article often cited in aligner research; see discussion in “Clear Aligner Therapy: Up to date review article”)

Rossini, G., Tarantini, G., Parrini, S., Castroflorio, T., Deregibus, A., & Debernardi, C. L. (2024). Accuracy and stability of clear aligner treatment: A systematic review. Journal of Periodontal & Implant Science, 54(1), Article 16004. https://doi.org/10.5051/jpis.2024.54.1.1600

Disclaimer: This information is for general guidance only and does not constitute professional dental advice. Always seek guidance from a licensed dental professional for your specific needs. Results and timelines are based on individual cases and are not guaranteed. Testimonials represent individual experiences only. Aligner32 accepts no responsibility for external links or third-party products.
Back to blog
  • Haruki Tanaka

    Content Contributor

    Hailing from New York City, Haruki Tanaka seamlessly blends his love for lifestyle blogging with a passion for oral health. A dedicated ALIGNER32 user, Haruki shares his experiences navigating the vibrant urban landscape of New York City while undergoing teeth alignment. His blogs capture the intersection of contemporary American lifestyles... Read More

  • Authored by